 
            
            Ново проучване установява, че бактерията Porphyromonas gingivalis (P. gingivalis), причиняваща заболяване на венците, може да проникне в кръвния поток и да инфилтрира сърцето. Там тя тихо води до натрупване на белези – известно като фиброза – нарушавайки архитектурата на сърцето, пречейки на електрическите сигнали и повишавайки риска от предсърдно мъждене.
Клиницистите отдавна са забелязали, че хората с пародонтит, често срещана форма на заболяване на венците, изглеждат по-склонни към сърдечно-съдови проблеми. Един скорошен мета-анализ го свързва с 30% по-висок риск от развитие на предсърдно мъждене (ПМ), потенциално сериозно нарушение на сърдечния ритъм, което може да доведе до инсулт, сърдечна недостатъчност и други животозастрашаващи усложнения.
В световен мащаб случаите на ПМ почти са се удвоили за по-малко от десетилетие, като са се увеличили от 33,5 милиона през 2010 г. до приблизително 60 милиона до 2019 г. Сега нараства научният интерес към това как заболяванията на венците могат да допринасят за този скок.
Минали изследвания сочат възпалението като вероятен виновник. Когато имунните клетки във венците се обединят, за да се борят с инфекцията, химичните сигнали, които те отделят, могат неволно да проникнат в кръвния поток, подхранвайки системно възпаление, което може да увреди органи далеч от устата.
Но възпалението не е единствената заплаха, която може да се избегне възпалените венци. Изследователи са открили ДНК от вредни бактерии в устната кухина в сърдечния мускул, клапите и дори мастните артериални плаки. Сред тях, P. gingivalis е привлякъл особено внимание заради предполагаемата си роля в нарастващ списък от системни заболявания, включително болестта на Алцхаймер, диабет и някои видове рак. Преди това е бил откриван в мозъка, черния дроб и плацентата.
Но как тази бактерия успява да се закрепи в сърцето, е неясно. Това проучване, публикувано в Circulation, предоставя първите ясни доказателства, че P. gingivalis във венците може да се промъкне в лявото предсърдие както при животински модели, така и при хора, което сочи потенциален микробен път, свързващ пародонтита с предсърдно мъждене.
"Причинно-следствената връзка между пародонтита и предсърдното мъждене все още е неизвестна, но разпространението на пародонтални бактерии през кръвния поток може да свързва тези състояния", обяснява първият автор на изследването Шунсуке Мияучи (Shunsuke Miyauchi), доцент във Висшето училище по биомедицински и здравни науки към Университета на Хирошима.
"Сред различните пародонтални бактерии, P. gingivalis е силно патогенна за пародонтит и някои системни заболявания извън устната кухина. В това проучване разгледахме тези два ключови въпроса: Премества ли се P. gingivalis в лявото предсърдие от пародонталната лезия? И ако е така, индуцира ли прогресията на предсърдната фиброза и предсърдно мъждене?"
Проучване на връзката между заболяванията на венците и предсърдно мъждене
За да симулират как P. gingivalis може да се измъкне от устата и да опустоши други области, изследователите създават моделна мишка, използвайки агресивния щам на бактерията W83. Те разделят 13-седмични мишки от мъжки пол на две групи: в едната щамът се въвежда в зъбната пулпа, а другата остава незаразена. Всяка от тях била разделена на подгрупи и наблюдавана в продължение на 12 или 18 седмици, за да се проследят сърдечносъдовите рискове от продължителното излагане на въздействието на тези фактори.
Интракардиалната стимулация - техника за диагностика на аритмия - не разкрива разлика в риска от предсърдно мъждене между заразените и незаразените мишки на 12 седмици. Но на 18-ата седмица тестовете показват, че мишките, изложени на бактерията, са шест пъти по-склонни да развият анормален сърдечен ритъм, с 30% степен на индуциране на предсърдно мъждене в сравнение с едва 5% в контролната група.
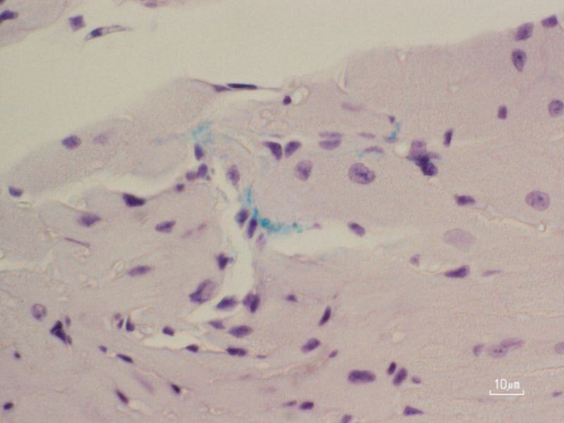
За да проверят дали техният модел точно възпроизвежда пародонтита, изследователите изследват лезиите на челюстта и откриват неговите отличителни симптоми. Те откриват разпад на зъбната пулпа и микроабсцеси, причинени от P. gingivalis. Но пораженията не спират дотук. Те забелязали бактерията и в лявото предсърдие на сърцето, където заразената тъкан се е превърнала в твърда и влакнеста. Използвайки изотермична амплификация с помощта на контур за откриване на специфични генетични характеристики, екипът потвърждава, че щамът P. gingivalis, който са въвели, присъства в сърцето. За разлика от тях, незаразените мишки са имали здрави зъби и не са имали следи от бактерията в пробите от сърдечна тъкан.
Дванадесет седмици след заразяването мишките, изложени на P. gingivalis, вече са показали повече лезии по сърцето от незаразените си събратя. На 18-ата седмица лезиите при заразените мишки достигат 21,9 % в сравнение с вероятно свързаните със стареенето 16,3 % при контролната група, което предполага, че P. gingivalis може не само да предизвика ранно увреждане на сърцето, но и да го ускори с течение на времето.
И тази тревожна връзка не е наблюдавана само при мишките. В отделно проучване при хора изследователите анализират тъкан на лявото предсърдие от 68 пациенти с предсърдно мъждене, които са претърпели сърдечна операция. P. gingivalis е открит и там, и то в по-големи количества при хора с тежки заболявания на венците.
Майстор на скритата атака
Предишни проучвания показват, че P. gingivalis може да нахлува в клетките на гостоприемника и да избягва унищожаването им от автофагозомите - чистачите на клетъчни отпадъци. Тази способност да се крие в клетките предполага начин, по който може да се изплъзне от имунната защита и да предизвика достатъчно възпаление, за да причини вреда, без да бъде отмита. При заразените мишки се наблюдава рязко повишаване на галектин-3, биомаркер за фиброза, и по-висока експресия на Tgfb1, ген, свързан с възпалението и образуването на лезии.
Откритията показват, че миенето на зъбите, почистването с конец и редовните стоматологични прегледи могат да допринесат не само за подобряване на устната хигиена, но и за защита на сърцето. Поддържането на здрави венци може да блокира входа за инвазия на P. gingivalis.
"P. gingivalis нахлува в кръвоносната система през пародонталните лезии и по-нататък се премества в лявото предсърдие, където бактериалното му натоварване корелира с клиничната тежест на пародонтита. Веднъж попаднал в предсърдието, той изостря предсърдната фиброза, което води до по-висока индуцируемост на предсърдно мъждене", посочва Мияучи. "Ето защо пародонталното лечение, което може да блокира портата за транслокация на P. gingivalis, може да играе важна роля в превенцията и лечението на предсърдно мъждене."
Сега екипът работи за засилване на интердисциплинарното сътрудничество между медицинските и денталните специалисти в префектура Хирошима с цел подобряване на сърдечносъдовите грижи.
"За следващата стъпка проучваме специфичните механизми, чрез които P. gingivalis влияе на предсърдните кардиомиоцити", посочва Мияучи. "Сега се фокусираме и върху създаването на съвместна медицинска и стоматологична система в префектура Хирошима за лечение на сърдечносъдови заболявания, включително предсърдно мъждене. Целта ни е в бъдеще да разширим тази инициатива в цялата страна."
Справка: Shunsuke Miyauchi, Miki Kawada-Matsuo, Hisako Furusho, Hiromi Nishi, Ayako Nakajima, Pham Trong Phat, Fumie Shiba, Masae Kitagawa, Kazuhisa Ouhara, Noboru Oda, Takehito Tokuyama, Yousaku Okubo, Sho Okamura, Taiichi Takasaki, Shinya Takahashi, Toru Hiyama, Hiroyuki Kawaguchi, Hitoshi Komatsuzawa, Mutsumi Miyauchi, Yukiko Nakano. Atrial Translocation of Porphyromonas gingivalis Exacerbates Atrial Fibrosis and Atrial Fibrillation. Circulation, 2025; DOI: 10.1161/CIRCULATIONAHA.124.071310
Източник: Heart rhythm disorder traced to bacterium lurking in our gums, Hiroshima University Department of Public Relations
 
                                                





















Коментари
Моля, регистрирайте се от TУК!
Ако вече имате регистрация, натиснете ТУК!
Няма коментари към тази новина !
Последни коментари
dolivo
Земната ябълка: стара култура за новите климатични времена
dolivo
Земята потъмнява. Какво означава тази тревожна климатична тенденция за бъдещето?
Nikor
На 30 септември 1928 е открит пеницилинът
Прост Човек
Ново обяснение за гигантските експлодиращи кратери в Сибир